Ŭ¸®ÇǾ¾±³Á¤
Ȩ > Ä¡¾Æ±³Á¤ > Ŭ¸®ÇǾ¾±³Á¤
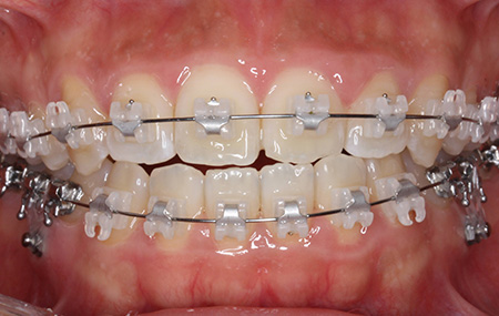
Ŭ¸®ÇǾ¾ ±³Á¤À̶õ?
Clppy-c [Ŭ¸®ÇÇ ¾¾] ÀÚ°¡°áÂû ±³Á¤ ÀåÄ¡´Â Ä¡¾Æ±³Á¤ ÀåÄ¡¿¡ Ä¡¾Æ±³Á¤¿ë ö»ç(¿ÍÀ̾î)¸¦ °áÂû, °íÁ¤ÇÒ ¼ö ÀÖ´Â ÀåÄ¡°¡ ºÎÂøµÇ¾î ÀÏ¹Ý ±³Á¤ ÀåÄ¡¿¡ »ç¿ëµÇ´Â o-ringÀ̳ª metal tie¸¦ »ç¿ëÇÏÁö ¾Ê°í °áÂûÇϹǷΠ³»¿ø½Ã Ä¡·á½Ã°£ÀÌ ¸¹ÀÌ ´ÜÃàµË´Ï´Ù.
¶ÇÇÑ ÀϰüµÈ ÈûÀ¸·Î Àâ¾ÆÁÖ´Â °áÂû ÀåÄ¡´Â ±³Á¤¿ë ¿ÍÀ̾îÀÇ ÈûÀ» Ä¡¾Æ¿¡ ÀÏÁ¤ÇÏ°Ô ºÐ¹èÇÏ¿© º¸´Ù Á¤È®ÇÑ ±³Á¤ÀÌ °¡´ÉÇÕ´Ï´Ù.
¹Ì»çÇÁ¶óÀÓÄ¡°ú¿¡¼ Ŭ¸®ÇǾ¾ ±³Á¤Àº ÆíÇÏ°í º¸±âµµ ÁÁ¾Æ¿ä! ¾ÈÀüÇÑ ±³Á¤Ä¡·á·Î ´ç½ÅÀÇ È¯ÇÑ ¹Ì¼Ò¸¦ ¾à¼Óµå¸³´Ï´Ù.
Ŭ¸®ÇǾ¾ ±³Á¤ÀÇ ÀåÁ¡
- Ä¡¾Æ»ö°ú µ¿ÀÏÇÑ ¼¼¶ó¹Í ¼ÒÀçÀÇ °áÂûÀåÄ¡·Î º¸´Ù Ƽ³ªÁö ¾Ê´Â Ä¡¾Æ±³Á¤ÀÌ °¡´ÉÇÕ´Ï´Ù.
- ÀÚ°¡°áÂûÀ» ÀÌ¿ëÇÑ Å¬¸®ÇǾ¾ ±³Á¤Àº Á¤È®ÇÑ Èû°ú ±³Á¤·ÂÀ» À¯ÁöÇÏ¿© ±â°£À» Àüü ±³Á¤±â°£ 3~5°³¿ù ´ÜÃà½Ãŵ´Ï´Ù.
- ÀÏ¹Ý ±³Á¤ ÀåÄ¡¿¡ »ç¿ëµÇ´Â O-ringÀ̳ª metal tie¸¦ »ç¿ëÇÏÁö ¾Ê°í °áÂûÇϹǷΠġ·á½Ã°£ÀÌ ´ÜÃàµË´Ï´Ù.
Ŭ¸®ÇǾ¾ ±³Á¤ ÀÌ·±ºÐµé²² ÃßõÇÕ´Ï´Ù.
- ¹Ù»Û Á÷ÀåÀΰú Çлýµé
- Ä¡¾ÆÅëÁõÀÌ °ÆÁ¤µÇ¾î ¸Á¼³À̽ô ºÐ

