¹ßÄ¡Áï½ÃÀÓÇöõÆ®
Ȩ > ÀÓÇöõÆ® > ¹ßÄ¡Áï½ÃÀÓÇöõÆ®
¹ßÄ¡ Áï½Ã ÀÓÇöõÆ®¶õ?
¹ßÄ¡ Áï½Ã ÀÓÇöõÆ®´Â ¹ßÄ¡¿Í ÀÓÇöõÆ® ¼ö¼úÀ» µ¿½Ã¿¡ ÁøÇàÇÏ´Â ¹æ½ÄÀ» ¸»ÇÕ´Ï´Ù. ¹ßÄ¡ ÈÄ »À°¡ »ý±â±â¸¦ ¸î ´Þ¾¿ ±â´Ù¸®Áö ¾Ê°í ¹ßÄ¡¿Í µ¿½Ã¿¡ ÀÓÇöõÆ®¸¦ ½Ä¸³ÇÏ´Â ¹æ¹ýÀ̱⿡ ºÒÇÊ¿äÇÑ Ä¡Á¶°ñ Èí¼ö¸¦ ÃÖ¼ÒÈÇϰí Ä¡·á±â°£ÀÌ ÇöÀúÈ÷ ´ÜÃàµÇ´Â ÀåÁ¡ÀÌ ÀÖ½À´Ï´Ù. °æ¿ì¿¡ µû¶ó¼´Â ¹ßÄ¡°ø°£À» ä¿ì±â À§ÇÑ °ñÀ̽ÄÀÌ ÇÊ¿äÇÒ ¼ö ÀÖ½À´Ï´Ù.
ÃÖ±Ù¿¡´Â ÀÓÇöõÆ®ÀÇ ¼º´É°ú ÀåºñÀÇ ¹ß´Þ·Î ¿¹Àüó·³ ¹ßÄ¡¸¦ ÇÑ ÈÄ ±â´Ù·È´Ù°¡ ÈÄ¿¡ ÀÓÇöõÆ®¸¦ ½Ä¸³ÇÏ´Â ±âÁ¸ÀÇ ¹æ½Ä°ú Å« Â÷À̰¡ ¾ø±â ¶§¹®¿¡ ¾È½ÉÇϽðí Ä¡·á¸¦ ¹ÞÀ¸½Ç ¼ö ÀÖ½À´Ï´Ù.
Ä¡¾Æ¸¦ »©¸é¼ µ¿½Ã¿¡ ÀÓÇöõÆ®¸¦ ½Ä¸³ÇϹǷΠ¹ßÄ¡¿ÍÀÇ Ä¡À¯·ÂÀ» ÀÌ¿ëÇÒ ¼ö ÀÖ¾î ÀÓÇöõÆ®¿Í Ä¡Á¶°ñ°úÀÇ À¯ÂøÀÌ »¡¶óÁö°í Ä¡·á±â°£À» ´ÜÃà ½Ãų ¼ö ÀÖ½À´Ï´Ù.
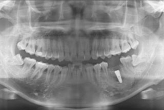
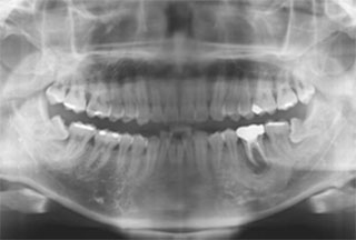
¹ßÄ¡ Áï½Ã ÀÓÇöõÆ® ÀüÈÄ»çÁø
- 1
½Ã¼ú Àü ¹æ»ç¼±»çÁø - 2
½Ã¼ú ÈÄ ¹æ»ç¼±»çÁø
¹ßÄ¡ Áï½Ã ÀÓÇöõÆ®ÀÇ ½Ã¼ú ´ë»ó
- »ç°í·Î ¾Õ´Ï°¡ ºüÁø Áö ¾ó¸¶ ¾ÈµÈ °æ¿ì
- Ä¡Á¶°ñÀÌ Á¤»óÀÌ¸é¼ ½ÉÇÏ°Ô ÁøÇàµÈ ÃæÄ¡·Î ÀÎÇØ Ä¡¾Æ¸¦ »©¾ß ÇÏ´Â °æ¿ì
- ½Å°æ Ä¡·á·Î ÇØ°áµÇÁö ¾Ê´Â °æ¿ì
- ´ç´¢ µî ¼Ò¸ð¼º ÁúȯÀÌ ÀÖ¾î¼ ºü¸¥ Ä¡·á°¡ ÇÊ¿äÇÑ °æ¿ì
- ºü¸¥ ½Ã°£ ³» ÅëÁõÀ» ÁÙ¿©ÁÖ´Â È¿°úÀûÀÎ ÀÓÇöõÆ®¸¦ ¿øÇÏ´Â °æ¿ì
- ÀûÀº ½Ã°£ ÅõÀÚ·Î ³ôÀº ½É¹ÌÀû È¿°ú¸¦ ¿øÇÏ´Â °æ¿ì
¹ßÄ¡ Áï½Ã ÀÓÇöõÆ®ÀÇ ÀåÁ¡
- Ä¡¾Æ»ó½Ç ½Ã ÀÕ¸ö »À¸¦ ±×´ë·Î º¸Á¸ÇÒ ¼ö ÀÖ¾î ÀÚ¿¬½º·¯¿î ÀÕ¸ö¶óÀÎÀ» ¸¸µé±â ½±½À´Ï´Ù.
- ÀÕ¸ö»ÀÀÇ ¾çÀû °áÇÌÀ» ¾ïÁ¦ÇÏ¿© Ä¡¾ÆÁÖº¯ÀÇ À§ÃàÀ» ¹æÁöÇÒ ¼ö ÀÖ½À´Ï´Ù.
- ¹ßÄ¡ ºÎÀ§ÀÇ ÀÚ¿¬ Ä¡À¯·ÂÀ» ÃÖ´ëÇÑ ÀÌ¿ëÇÏ¿© °ñ °áÇÕÀ» À¯µµÇÒ ¼ö ÀÖ½À´Ï´Ù.
- ¹ßÄ¡ ÈÄ¿¡ »À¿Í ÀÕ¸öÀÌ ¾Æ¹«´Â ±â°£À» µû·Î ±â´Ù¸± Çʿ䰡 ¾ø¾î Àüü ÀÓÇöõÆ® Ä¡·á±â°£ÀÌ ´ÜÃàµË´Ï´Ù.

