¼¼¶ó¹Í±³Á¤
Ȩ > Ä¡¾Æ±³Á¤ > ¼¼¶ó¹Í±³Á¤
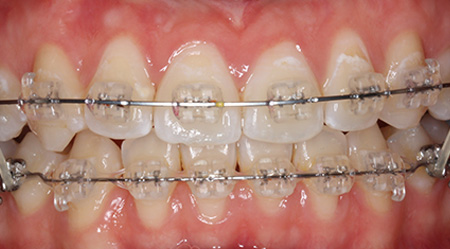
¼¼¶ó¹Í ±³Á¤
Ä¡¾Æ»ö»ó°ú Èí»çÇÑ ¼¼¶ó¹Í ÀçÁú·Î ¸¸µç ¼¼¶ó¹Í ºê¶óÄÏÀº ¸ÞÅ» ºê¶óÄÏ¿¡ ºñÇØ Åõ¸íÇÏ¿© ½É¹ÌÀûÀ¸·Î ¶Ù¾î ³ ±³Á¤ÀåÄ¡ÀÔ´Ï´Ù. ¶§¹®¿¡ ±³Á¤±â°£ Áß ±³Á¤ ÀåÄ¡·Î ÀÎÇÑ ºÎ´ãÀÌ Àû°í ÀÚ°¡°áÂûÀåÄ¡¿¡ ºñÇÏ¿© ºñ±³Àû Àú·ÅÇϱ⠶§¹®¿¡ ¸¹ÀÌ ´ëÁßÈµÈ ±³Á¤ÀåÄ¡ÀÔ´Ï´Ù.
¹Ì»çÇÁ¶óÀÓÄ¡°ú¿¡¼´Â Àú·ÅÇϸ鼵µ ½É¹ÌÀûÀ¸·Î ¶Ù¾î³ ¼¼¶ó¹Í ÀåÄ¡¸¦ ÃßõÇÕ´Ï´Ù.
¼¼¶ó¹Í ±³Á¤ÀÇ ÀåÁ¡°ú ´ÜÁ¡
| ¼¼¶ó¹Í ±³Á¤ÀÇ ÀåÁ¡ | ¼¼¶ó¹Í ±³Á¤ÀÇ ´ÜÁ¡ |
|---|---|
| ¨ç ºê¶óÄÏÀÌ Ä¡¾Æ»öÀÌ¾î¼ ´«¿¡ ¶çÁö ¾Ê¾Æ ½É¹ÌÀûÀÎ ±³Á¤ÀåÄ¡ÀÔ´Ï´Ù. ¨è ¼³Ãø±³Á¤¿¡ ºñÇØ ºñ¿ëÀÌ Àú·ÅÇϸç, À̹°°¨µµ ´úÇÕ´Ï´Ù.. ¨é ¹ßÀ½¹®Á¦µµ °ÅÀÇ ¾ø½À´Ï´Ù. ¨ê º¯»öÀ̳ª Âø»öÀÌ ¾ø½À´Ï´Ù. |
¨ç ±Ý¼Ó±³Á¤¿¡ ºñÇØ ±úÁú ¼ö ÀÖÀ¸¸ç, ¸¶¸ðµÉ ¼ö ÀÖ½À´Ï´Ù.. ¨è ±Ý¼Ó±³Á¤¿¡ ºñÇØ °í°¡ÀÔ´Ï´Ù.. ¨é ±úÁ®¼ ÀçºÎÂø½Ã ÃÑ Ä¡·á ±â°£ÀÌ ¿¬ÀåµÉ ¼ö ÀÖ½À´Ï´Ù. |
¼¼¶ó¹Í ±³Á¤ÀÇ Æ¯Â¡
- ³»±¸¼ºÀ» °ÈÇÏ¿© ¼¼¶ó¹ÍÀÇ ´ÜÁ¡ÀÎ ÆÄÀý¼ºÀ» ÇöÀúÈ÷ °³¼±ÇÏ¿´½À´Ï´Ù.
- Åõ±¤¼º Àç·áÀ̹ǷΠºê¶óÄÏÀÇ ½É¹Ì¼ºÀÌ ¿ì¼öÇÕ´Ï´Ù.

